In unserem Praxislabor und von unseren Partnerlaboren werden für die Anfertigung unseres Zahnersatzes überwiegend hochwertige Materialien verwendet.
Insbesondere die Goldlegierungen für Gold- und Keramikarbeiten bestehen aus hochwertigen Goldbestandteilen. Nur in Ausnahmefällen werden edelmetallreduzierte Metalle sowie nichtedelmetallhaltige Legierungen sogenannte „Spargolde“ verarbeitet.
Damit ist eine Allergie gegenüber Metallen weitgehend ausgeschlossen. Die neuen Keramikmaterialien in Verbindung mit Presskeramik oder Zirkon gewährleisten Allergiefreiheit und absolute Mundverträglichkeit.
⇒ Kombinationsarbeiten als abnehmbarer Zahnersatz auf eigenen Zähnen und Implantaten mit Riegeln.

⇒ Große, festsitzende Metallkeramikbrücken auf eigenen Zähnen und Implantaten.

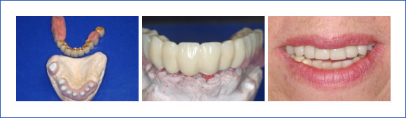
⇒ Vollkeramikbrücke auf Zirkongerüst (CAD/CAM -Technologie)

⇒ Teleskopversorgung im Oberkiefer mit „weißen“ Teleskopkronen und einem abnehmbaren Teil in Galvanotechnik.

Zur Übersicht Leistungsspektrum