Call us  Telefon: 0 91 31 / 2 45 71

www.dr-fath.de

Implantologie

Allgemeine Informationen:

Zahnimplantate sind künstliche Zahnwurzeln, die in den Kieferknochen eingesetzt werden, um verloren gegangene Zähne zu ersetzen, bzw. um prothetische Arbeiten zu verankern. Ein gesunder und ausreichend vorhandener Kieferknochen ist die Vorraussetzung für eine lange Lebensdauer des Implantates und für einen zufriedenstellenden Behandlungserfolg.

In einer medizinischen und röntgenologischen Untersuchung wird festgestellt, ob die Voraussetzungen für eine erfolgreiche Zahnimplantation bereits gegeben sind oder erst noch erfüllt werden müssen. Ein Abklingen von Entzündungen, eine Ausheilung von Wunden nach Zahnentfernungen oder ein Knochenaufbau gehören manchmal zu den Vorbehandlungsmaßnahmen. Sind diese abgeschlossen, kann das Implantat eingebracht werden.

Übersicht über ein Zahnimplantat mit Krone in schematischem Aufbau.
 
 
 
 
 
 
 
 
 
 
 
Ablauf einer Zahnimplantation in einer schematischen Übersicht:

1. Planung des Zahnersatzes
Im Vorfeld einer Implantation wird Ihre individuelle Mundsituation beurteilt. Es findet eine präimplantologische Untersuchung und Diagnostik mittels Röntgenbildern oder einer digitalen Volumen- tomographieaufnahme statt.

2. Der Implantateingriff
Unter örtlicher Betäubung wird das Implantat in den Knochen eingebettet. Anschließend wächst der Knochen um das Implantat herum.

 
 
3. Das Eingliedern des Zahnersatzes
Nach 3-5 Monaten Einheilzeit kann der Zahnersatz auf dem Implantat befestigt werden.

 
 
 
 
 

Klinische Beispiele zur Implantatversorgung:

Einzelzahnersatz:
Eine Brückenversorgung kann oftmals vermieden werden. Der Vorteil ist, dass gesunde Nachbarzähne nicht beschliffen werden müssen.

Bei der Versorgung von großen Schaltlücken dient die Pfeilervermehrung zur Stabilisierung des Restgebisses.

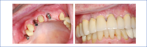
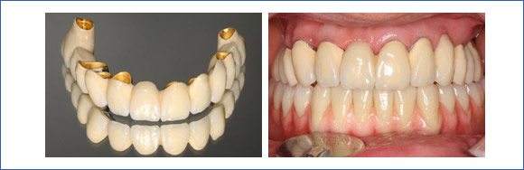
Versorgung vom zahnlosen Kiefer:

a) Umfangreiche Versorgung mit einem herausnehmbaren Zahnersatz

b) Versorgung mit einer großen, festsitzenden Brücke

c) Prothesenstabilisierung durch Mini-Implantate
weitere Informationen >>

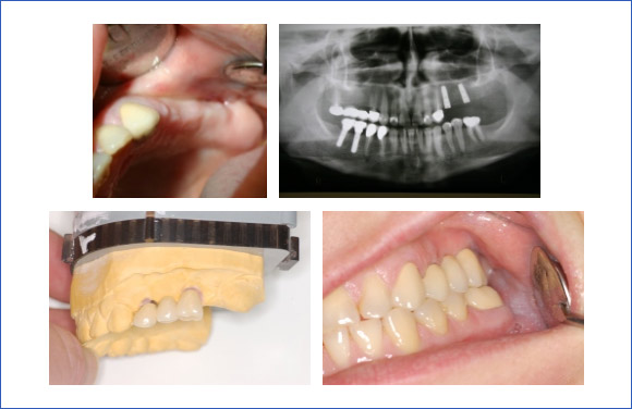
Freiendversorgung mit einer Brücke:

Wir beraten Sie gerne bezüglich der Möglichkeiten, Vorteile und Risiken von Implantaten. Wir planen gemeinsam mit Ihnen, ob Implantate für Ihre individuellen Ansprüche geeignet sind und welche Maßnahmen vorher ergriffen werden sollten.

Vorgehensweise:

1. Beratungsablauf mit Befund:
Der erste Schritt ist ein genauer zahnärztlicher Befund und ein Röntgenbild. Ebenso werden zur Planung Modelle aus Gips angefertigt ebenso wie Farbfotos der Ausgangssituation.

2. Planungsgespräch:
In der 2. Sitzung erfolgt das Gespräch außerhalb des Behandlungszimmers in lockerer Atmosphäre. Die verschiedenen Implantatsversorgungen oder Alternativen werden angesprochen. Mit uns können Sie Ihre Fragen genau klären. Sie erhalten eine Kostenplanung zur jeweiligen Lösung. Wenn Sie sich für eine Behandlung entschieden haben, erfolgt die OP-Aufklärung und danach die Implantation.
 

Implantatsysteme unserer Praxis

Wir verwenden in unserer Praxis zwei Implantatsysteme der Firma OT-Medical aus Bremen.

Die Firma hat die Philosophie und den Qualitätsanspruch „Made in Germany“. So werden Implantatsysteme mit innovativer Präzision und nach neuestem wissenschaftlichen Kenntnisstand gefertigt.

OT-Medical-System


OT-F²-Implantat:
Das OT-F²-Implantat ist die Weiterentwicklung des OT-F¹-Implantats. Neueste wissenschaftliche Erkenntnisse hat man in die Entwicklung einfließen lassen. Es ist ein selbstschneidendes Schraub-Implantat für alle Implantatsindikationen.
 
 
 
 
 
 
 
 

OT-F³-Implantat:
Es ist ein konisches Pressimplantat zur Anwendung im stark zurückgebildeten Kiefer ohne eine not- wendige Knochenauffüllung. Es bietet erweiterte Indikationsmöglichkeiten insbesondere bei flachen Kieferkämmen!
Eigenschaften:
• vergrößerte Implantatoberfläche durch kugelförmiges Design
• Implantation bei verringertem Knochenangebot von 5, 7 und 9 mm möglich
• seit über 20 Jahren auf dem Markt
 
 
Röntgenbilder:
 

Anwendung im Oberkiefer:
Implantate können im Oberkiefer auch bei verringertem Knochenanbgebot zur Kieferhöhle gesetzt werden. Der Patient erspart sich in den meisten Fällen eine Operation zur Auffüllung der Kieferhöhle mit Knochen. Eine aufwändige Kieferhöhlenoperation kann somit oft vermieden werden.
 
 
 
 

Anwendung im Unterkiefer:
Implantate können oft noch gesetzt werden, wenn der Nerv in der Nähe ist, wo sonst Schraubimplantate zu lang sind.
 
 
 
 
 
 
 
 

In der schematischen Darstellung kann man deutlich die verkürzte Länge des Implantats im Vergleich zur natürlichen Zahnwurzel erkennen.
 
OT-F³-Implantate funktionieren wegen der Vergrößerung der Oberfläche durch die kugelförmige Struktur ab 5 mm Knochentiefe, da wo normalerweise eine herkömmliche Schraube keinen Halt findet.
 
 
 
 
 
 

Zusammenfassung Implantologie:
  • Ausschließliche Verwendung ausgewählter, hochwertiger Markenimplantate aus deutscher Produktion
  • Verwendung von präzisen Schraubimplantaten für alle Anwendungen
  • Verwendung von kurzen, konischen Implantaten mit Kugeloberfläche bei wenig Knochenangebot im Ober- oder Unterkiefer
  • Erstellung eines individuellen Behandlungsplanes
  • Kostenfreie Ratenzahlung über 6 Monate

 
 
Zur Übersicht Leistungsspektrum